China Animal Husbandry & Veterinary Medicine ›› 2026, Vol. 53 ›› Issue (2): 859-869.doi: 10.16431/j.cnki.1671-7236.2026.02.031
• Genetics and Breeding • Previous Articles Next Articles
XU Juan1(
), ZHANG Huibin1, ZHANG Xiaodong2, LI Qinggang1(
)
Received:2025-07-18
Online:2026-02-20
Published:2026-01-27
Contact:
LI Qinggang
E-mail:827326554@qq.com;LQG3375@163.com
CLC Number:
XU Juan, ZHANG Huibin, ZHANG Xiaodong, LI Qinggang. Association Analysis of PTER and CALB2 Gene Polymorphisms with Growth Traits in American Yorkshire pigs[J]. China Animal Husbandry & Veterinary Medicine, 2026, 53(2): 859-869.
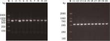
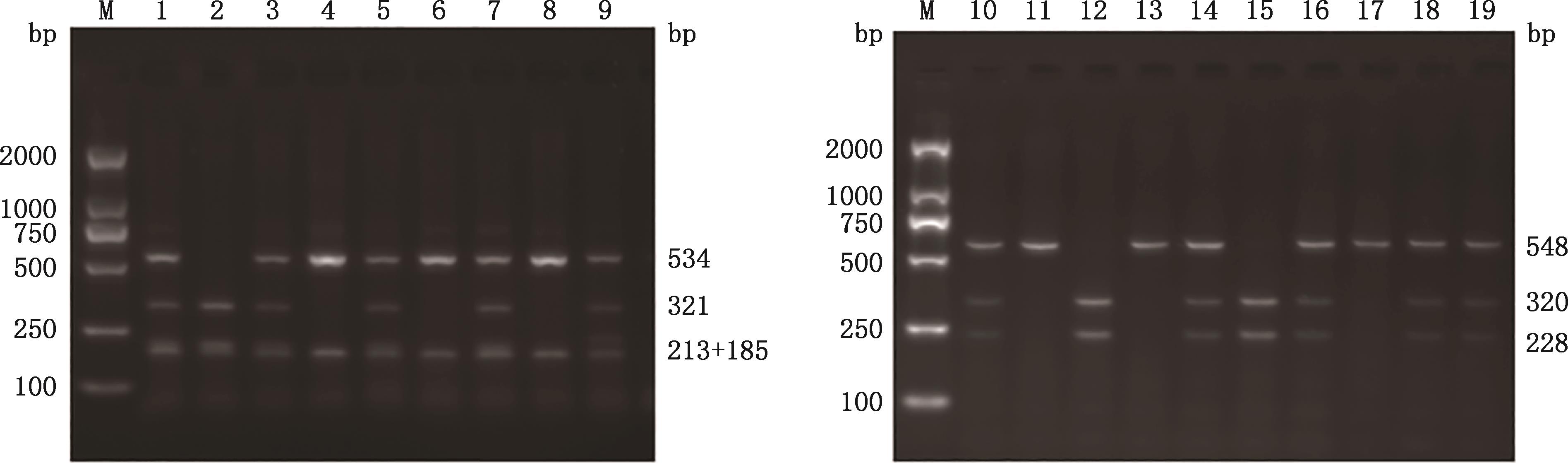
Table 2
Genetic parameters of SNP of PTER and CALB2 genes in American Yorkshire pigs"
基因 Genes | 基因型频率 Genotype frequency | 等位基因频率 Allele frequency | χ2值 χ2 value | P值 P-value | |||
|---|---|---|---|---|---|---|---|
| PTER | GG | GC | CC | G | C | ||
| 0.5403(208) | 0.4130(159) | 0.0468(18) | 0.7468 | 0.2532 | 3.2520 | 0.0713 | |
| CALB2 | GG | GA | AA | G | A | ||
| 0.2182(84) | 0.4545(175) | 0.3273(126) | 0.4455 | 0.5545 | 2.4615 | 0.1167 | |
Table 4
Least square analysis of different genotypes of PTER and CALB2 genes and corrected days to 100 kg and corrected live backfat thickness at 100 kg in American Yorkshire pigs"
| 性状 | PTER | CALB2 | ||||
|---|---|---|---|---|---|---|
| Traits | GG | GC | CC | GG | GA | AA |
校正100 kg体重日龄 Corrected days to 100 kg | 162.60±8.90 | 161.50±8.80 | 159.70±9.40 | 166.20±7.70A | 162.50±9.00B | 158.50±8.20C |
校正100 kg活体背膘厚 Corrected live backfat thickness at 100 kg/mm | 11.48±2.47a | 10.93±2.57b | 9.90±1.60b | 11.89±2.11A | 11.38±2.29A | 10.42±2.83B |
Table 5
Gene effect analysis of corrected days to 100 kg and corrected live backfat thickness at 100 kg of different genotypes of PTER and CALB2 genes"
| 性状 | PTER基因效应 PTER gene effect | CALB2基因效应 CALB2 gene effect | ||||||||||
|---|---|---|---|---|---|---|---|---|---|---|---|---|
| Traits | d | a | D | α1 | α2 | △α | d | a | D | α1 | α2 | △α |
校正100 kg体重日龄 Corrected days to 100 kg | 0.350 | 2.900 | 0.121 | 0.691 | ―2.036 | ―2.727 | 0.150 | 7.700 | 0.019 | 4.279 | ―3.438 | ―7.716 |
校正100 kg活体背膘厚 Corrected live backfat thickness at 100 kg/mm | 0.204 | 0.790 | 0.304 | 0.170 | ―0.502 | ―0.672 | 0.225 | 0.735 | 0.306 | 0.421 | ―0.338 | ―0.759 |
Table 6
Least square analysis of combined genotypes of PTER and CALB2 genes and corrected days to 100 kg in American Yorkshire pigs"
合并基因型 Combined genotypes | 样本量 N/头 | 校正100 kg日龄 Corrected days to 100 kg | 显著性检验 Significance test | ||||||||
|---|---|---|---|---|---|---|---|---|---|---|---|
| GGGG | GGGA | GGAA | GCGG | GCGA | GCAA | CCGG | CCGA | CCAA | |||
| GGGG | 41 | 169.1±6.8 | 0.000** | 0.000** | 0.003** | 0.000** | 0.000** | 0.257 | 0.023* | 0.000** | |
| GGGA | 99 | 162.9±8.9 | 0.000** | 0.001** | 0.756 | 0.519 | 0.010** | 0.932 | 0.675 | 0.035* | |
| GGAA | 68 | 158.3±7.7 | 0.000** | 0.001** | 0.002** | 0.009** | 0.575 | 0.311 | 0.292 | 0.483 | |
| GCGG | 40 | 163.4±7.8 | 0.003** | 0.756 | 0.002** | 0.423 | 0.018* | 0.989 | 0.583 | 0.031* | |
| GCGA | 68 | 162.1±8.9 | 0.000** | 0.519 | 0.009** | 0.423 | 0.065 | 0.797 | 0.888 | 0.068 | |
| GCAA | 51 | 159.2±9.0 | 0.000** | 0.010** | 0.575 | 0.018* | 0.065 | 0.405 | 0.445 | 0.343 | |
| CCGG | 3 | 163.3±2.8 | 0.257 | 0.932 | 0.311 | 0.989 | 0.797 | 0.405 | 0.763 | 0.204 | |
| CCGA | 8 | 161.6±12.7 | 0.023* | 0.675 | 0.292 | 0.583 | 0.888 | 0.445 | 0.763 | 0.194 | |
| CCAA | 7 | 156.0±5.4 | 0.000** | 0.035* | 0.483 | 0.031* | 0.068 | 0.343 | 0.204 | 0.194 | |
Table 7
Least square analysis of combined genotypes of PTER and CALB2 genes and corrected live backfat thickness at 100 kg in American Yorkshire pigs"
合并基因型 Combined genotypes | 样本量 N/头 | 校正100 kg 活体背膘厚 Corrected live backfat thickness at 100 kg/mm | 显著性检验Significance test | ||||||||
|---|---|---|---|---|---|---|---|---|---|---|---|
| GGGG | GGGA | GGAA | GCGG | GCGA | GCAA | CCGG | CCGA | CCAA | |||
| GGGG | 41 | 12.32±2.03 | 0.186 | 0.000** | 0.167 | 0.007** | 0.000** | 0.144 | 0.037* | 0.002** | |
| GGGA | 99 | 11.72±2.08 | 0.186 | 0.004** | 0.744 | 0.064 | 0.001** | 0.284 | 0.127 | 0.010** | |
| GGAA | 68 | 10.61±2.97 | 0.000** | 0.004** | 0.048* | 0.340 | 0.498 | 0.770 | 0.777 | 0.161 | |
| GCGG | 40 | 11.58±2.18 | 0.167 | 0.744 | 0.048* | 0.247 | 0.014* | 0.344 | 0.197 | 0.021* | |
| GCGA | 68 | 11.01±2.58 | 0.007** | 0.064 | 0.340 | 0.247 | 0.119 | 0.569 | 0.471 | 0.070 | |
| GCAA | 51 | 10.31±2.74 | 0.000** | 0.001** | 0.498 | 0.014* | 0.119 | 0.937 | 0.959 | 0.284 | |
| CCGG | 3 | 10.20±0.74 | 0.144 | 0.284 | 0.770 | 0.344 | 0.569 | 0.937 | 0.922 | 0.577 | |
| CCGA | 8 | 10.36±1.51 | 0.037* | 0.127 | 0.777 | 0.197 | 0.471 | 0.959 | 0.922 | 0.383 | |
| CCAA | 7 | 9.26±1.90 | 0.002** | 0.010** | 0.161 | 0.021* | 0.070 | 0.284 | 0.577 | 0.383 | |
| [1] | HELAL M, SAMEH J, GHARIB S, et al. Candidate genes associated with reproductive traits in rabbits[J]. Tropical Animal Health and Production, 2024, 56(2):94. |
| [2] | ZHANG S, ZHANG K, PENG X, et al. Selective sweep analysis reveals extensive parallel selection traits between Large White and Duroc pigs[J]. Evolutionary Applications, 2020, 13(10):2807-2820. |
| [3] | GORSSEN W, WINTERS C, MEYERMANS R, et al. Estimating genetics of body dimensions and activity levels in pigs using automated pose estimation[J]. Scientific Reports, 2022, 12(1):15384. |
| [4] | MALGWI I H, HALAS V, GRUNVALD P, et al. Genes related to fat metabolism in pigs and intramuscular fat content of pork: A focus on nutrigenetics and nutrigenomics[J]. Animals (Basel), 2022, 12(2):150. |
| [5] | ZHOU P, YIN C, WANG Y, et al. Genomic association analysis of growth and backfat traits in Large White pigs[J]. Genes (Basel), 2023, 14(6):1258. |
| [6] | THORLEIFSSON G, WALTERS G B, GUDBJARTSSON D F, et al. Genome-wide association yields new sequence variants at seven loci that associate with measures of obesity[J]. Nature Genetics (New York, N.Y.), 2009,41(1):18-24. |
| [7] | WILLER C J, SPELIOTES E K, LOOS R J, et al. Six new loci associated with body mass index highlight a neuronal influence on body weight regulation[J]. Nature Genetics, 2009, 41 (1): 25-34 |
| [8] | VIMALESWARAN K S, TACHMAZIDOU I, ZHAO J H, et al. Candidate genes for obesity-susceptibility show enriched association within a large genome-wide association study for BMI[J]. Human Molecular Genetics, 2012, 21(20):4537-4542. |
| [9] | FLORES-DORANTES M T, DIAZ-LOPEZ Y E, GUTIERREZ-AGUILAR R. Environment and gene association with obesity and their impact on neurodegenerative and neurodevelopmental diseases[J]. Frontiers in Neuroscience, 2020, 14:863. |
| [10] | WEI W, LYU X, MARKHARD A L, et al. PTER is a N-acetyltaurine hydrolase that regulates feeding and obesity[J]. Nature, 2024, 633(8028):182-188. |
| [11] | CHEN W, CHEN Y, WU R, et al. DHA alleviates diet-induced skeletal muscle fiber remodeling via FTO/ m6A /DDIT4/PGC1α signaling[J]. BMC Biology, 2022, 20(1):39. |
| [12] | GALUSZKA A, PAWLICKI P, PARDYAK L, et al. Abundance of estrogen receptors involved in non-canonical signaling in the dog testis[J]. Animal Reproduction Science, 2021, 35:106888. |
| [13] | SUN J, WANG C, WU Y, et al. Association analysis of METTL23 gene polymorphisms with reproductive traits in Kele pigs[J]. Genes (Basel), 2024, 15(8):1061. |
| [14] | EISNER D, NEHER E, TASCHENBERGER H, et al. Physiology of intracellular calcium buffering[J]. Physiological Reviews, 2023, 103(4):2767-2845. |
| [15] | XIANG Y, WU Y, ZHANG H, et al. Characterization and localization of CALB2 in both the testis and ovary of the Japanese flounder (Paralichthys olivaceus)[J]. Animals (Basel), 2020, 10(9):1503. |
| [16] | LUAN S, WANG C. Calcium signaling mechanisms across kingdoms[J]. Annual Review of Cell and Developmental Biology, 2021, 37(1):311-340. |
| [17] | YEH F C, YANG R C, BOYLE T B J, et al. POPGENE, the User-friendly Shareware for Population Genetic Analysis[M]. Canada:Molecular Biology and Biotechnology Centre, 1997. |
| [18] | 李庆岗, 田广友, 吴义景, 等. 定远猪CATSPER1基因多态性及与产仔数的相关分析[J]. 养猪, 2019, 3:70-72. |
| LI Q G, TIAN G Y, WU Y J, et al. Polymorphism of CATSPER1 gene and its association with litter size in Dingyuan pigs[J]. Swine Production, 2019, 3:70-72. (in Chinese) | |
| [19] | TANG M, LI X, REN J, et al. Limosilactobacillus reuteri HM108 alleviates obesity in rats fed a high-fat diet by modulating the gut microbiota, metabolites, and inhibiting the JAK-STAT signalling pathway[J]. Frontiers in Nutrition, 2025, 12:1597334. |
| [20] | 王金芳, 黄鑫, 郝翠芳. 磷酸三酯酶相关基因与肥胖关系的研究进展[J]. 生殖医学杂志, 2013, 22(12):974-977. |
| WANG J F, HUANG X, HAO C F. Research progress in the relationship between obesity and PTER [J]. Journal of Reproductive Medicine, 2013, 22(12):974-977.(in Chinese) | |
| [21] | BACON E K, DONNELLY C G, FINNO C J, et al. Exploring the genetic influences on equine analgesic efficacy through genome-wide association analysis of ranked pain responses[J]. The Veterinary Journal, 2025, 312:106347. |
| [22] | MASOOD B, MOORTHY M. Causes of obesity: A review[J]. Clinical Medicine, 2023, 23(4):284-291. |
| [23] | GUTIERREZ‐AGUILAR R, KIM D H, WOODS S C, et al. Expression of New loci associated with obesity in diet-induced obese rats: From genetics to physiology[J]. Obesity, 2012, 20(2):306-312. |
| [24] | LAURIDSEN C. Effects of dietary fatty acids on gut health and function of pigs pre-and post-weaning[J]. Journal of Animal Science, 2020, 98(4):skaa086. |
| [25] | WANG Z, LI Y, WU L, et al. Rosiglitazone-induced PPARγ activation promotes intramuscular adipocyte adipogenesis of pig[J]. Animal Biotechnology, 2023, 34(8):3708-3717. |
| [26] | BOUCHARD C. Genetics of obesity: What we have learned over decades of research[J]. Obesity, 2021, 29(5):802-820. |
| [27] | HIRST N L, LAWTON S P, WALKER A J. CaMKⅡ regulates neuromuscular activity and survival of the human blood fluke Schistosoma mansoni [J]. Scientific Reports, 2022, 12(1):19831. |
| [28] | WANG X, CHI C, HE J, et al. SINE insertion may act as a repressor to affect the expression of pig LEPROT and growth traits[J]. Genes (Basel), 2022, 13(8):1422. |
| [29] | GUPTA S, KAUR N, KANT K, et al. Calcium: A master regulator of stress tolerance in plants[J]. South African Journal of Botany, 2023, 163:580-594. |
| [30] | SOLANKI R, DHAKA S S, RATWAN P, et al. Identification of IGFBP2 gene polymorphism and association of genotypes with performance traits in Large White Yorkshire pigs[J]. Tropical Animal Health and Production, 2025, 57(6):286. |
| [31] | WU K, BU F, WU Y, et al. Exploring noncoding variants in genetic diseases: From detection to functional insights[J]. Journal of Genetics and Genomics, 2024, 51(2):111-132. |
| [1] | Jinhua LAI, Xiaoyi WANG, Ya WU, Dongxia ZHU, Yixuan ZHU, Kezhong ZHANG, Zhaojun HUANG, Heping GUAN, Mingli LI, Shaoxiong LU. Polymorphisms of ADRP and FASN Genes and Their Association with Meat Quality Traits in Xuanhe Pigs [J]. China Animal Husbandry & Veterinary Medicine, 2026, 53(2): 879-891. |
| [2] | Hanbing ZHANG, Yaping GUO, Jiaqing ZHANG, Qiaoling REN, Junfeng CHEN, Fujiu LIU, Jing WANG, Baosong XING. Research Progress on Gene Editing Technology and Its Application in Breeding of Pigs [J]. China Animal Husbandry & Veterinary Medicine, 2026, 53(1): 1-14. |
| [3] | Yuan CHAI, Chenglin BAO, Lingyan ZHANG, Shuyan GONG, Chelimuge QI, Yanchun BAO, Meng ZHU, Sai CAO, Jiangong LI, Guojie YU, Jingkai LIN, Wenguang ZHANG. Research Progress on the Application of Single-cell Sequencing Technology in Livestock and Poultry Genetic Breeding [J]. China Animal Husbandry & Veterinary Medicine, 2026, 53(1): 15-26. |
| [4] | ZHI Li, DAI Sifan, LIU Xueqin, CHEN Quanzhen, YU Ying, MAO Huaming. Application of Transcriptomics and Metabolomics Technologies in Beef Quality Traits Research [J]. China Animal Husbandry & Veterinary Medicine, 2025, 52(12): 5600-5613. |
| [5] | QI Haonan, HUO Haonan, CAO Lei, ZHANG Yuanqing, HUANG Yongye, YU Dawei. Cloning of the Endangered Zhangmu Cattle via Somatic Cell Nuclear Transfer in Tibet [J]. China Animal Husbandry & Veterinary Medicine, 2025, 52(12): 5740-5748. |
| [6] | ZHANG Mengping, LIN Mingxin, WU Zhongliang, LUO Jingfei, CHEN Shanduier, WU Qiong. Analysis of mtDNA Codon Usage Bias in Shitan Chickens and Native Chicken Breeds of China [J]. China Animal Husbandry & Veterinary Medicine, 2025, 52(12): 5772-5784. |
| [7] | JIA Yuxuan, HAN Fei, ZENG Guanghu, SHEN Xiangyu, GONG Ting. Polymorphism of TAS1R1 Gene and Its Association with Growth Traits in Guizhou Indigenous Pigs [J]. China Animal Husbandry & Veterinary Medicine, 2025, 52(12): 5809-5820. |
| [8] | GUO Shiwei, LIU Yuan, HAO Zhiyun, ZHANG Xiyun, CHE Longjie, LI Mingna, REN Chunyan, WANG Jiqing, WANG Zike. FABP3 Gene Polymorphism and Its Effect on Lactation Traits in Sheep [J]. China Animal Husbandry & Veterinary Medicine, 2025, 52(11): 5265-5275. |
| [9] | LI Gongteng, WANG Tianjiao, CHEN Xu, GAO Hexuan, YANG Sukun, YAN Xiaofeng, LIU Xin, XING Xiumei. Bioinformatics Analysis of KCNQ1 Gene in Tarim Red Deer and Effect of Its Non-synonymous Mutation on Protein Expression [J]. China Animal Husbandry & Veterinary Medicine, 2025, 52(10): 4549-4562. |
| [10] | GOU Shuaishuai, LIU Lingling, CAO Hang, CHEN Qiuming, JI Feilong, LIU Wujun. Screening and Identification of Specific SNP for 5 Local Sheep Breeds in Xinjiang Based on Whole-genome Data [J]. China Animal Husbandry & Veterinary Medicine, 2025, 52(10): 4754-4764. |
| [11] | YANG Rong, ZHOU Di, WANG Zhenmei, TIAN Xingzhou, CHEN Xiang, LYU Yanli, WU Yu, AO Ye, GUO Zhengang, ZHAO Depeng, HUANG Qingyun, ZHANG Xing. Polymorphism of AMH and CYP19A1 Genes and Its Correlation Analysis with Litter Size in Guizhou Black Goats [J]. China Animal Husbandry & Veterinary Medicine, 2025, 52(10): 4785-4795. |
| [12] | HAN Xu, PENG Yu, ZHANG Lilan, LIU Tianxia, LI Hongqiang, TAO Cong. Study on the Molecular Characteristics of Thermogenesis in Tibetan Pig Adipocytes [J]. China Animal Husbandry & Veterinary Medicine, 2025, 52(10): 4796-4808. |
| [13] | ZHANG Changliang, XU Zhiting, GUO Kaixuan, SU Chao, NING Wenzhe, SI Jinglei, ZHOU Jun, GAO Yahui, ZHANG Zhe. Genome-wide Association Study of Average Daily Gain in Duroc Pigs [J]. China Animal Husbandry & Veterinary Medicine, 2025, 52(10): 4822-4829. |
| [14] | ZHAO Runze, MIN Zhaoling, NIU Naiqi, ZONG Wencheng, YAN Yibo, ZHANG Longchao. Identification of Major Genes Affecting the Number of Thoracic Vertebrae in Beijing Black Pigs Based on the Joint Analysis of GWAS and Embryonic Gene Expression Differences in Divergently Selected Lines [J]. China Animal Husbandry & Veterinary Medicine, 2025, 52(9): 4182-4194. |
| [15] | LUO Chunyan, BAI Feng, TENG Wen, AMINIGULI·Abulizi, MAERZIYA·Yasen, ZHOU Xirong, NAZAKAITI·Ainiwaner, MAISITUERGULI·Abulitipu, ZHANG Yuntao, JI Xinmin, ZHANG Yanhua. Genetic Structure Analysis of Turpan Black Sheep Based on Simplified Genome Sequencing [J]. China Animal Husbandry & Veterinary Medicine, 2025, 52(9): 4216-4225. |
| Viewed | ||||||
|
Full text |
|
|||||
|
Abstract |
|
|||||