China Animal Husbandry & Veterinary Medicine ›› 2026, Vol. 53 ›› Issue (2): 879-891.doi: 10.16431/j.cnki.1671-7236.2026.02.033
• Genetics and Breeding • Previous Articles Next Articles
LAI Jinhua1(
), WANG Xiaoyi1, WU Ya2, ZHU Dongxia1, ZHU Yixuan1, ZHANG Kezhong2, HUANG Zhaojun3, GUAN Heping3, LI Mingli1(
), LU Shaoxiong1(
)
Received:2025-08-01
Online:2026-02-20
Published:2026-01-27
Contact:
LI Mingli, LU Shaoxiong
E-mail:1760907848@qq.com;xiaolucao@126.com;shxlu_ynau@163.com
CLC Number:
LAI Jinhua, WANG Xiaoyi, WU Ya, ZHU Dongxia, ZHU Yixuan, ZHANG Kezhong, HUANG Zhaojun, GUAN Heping, LI Mingli, LU Shaoxiong. Polymorphisms of ADRP and FASN Genes and Their Association with Meat Quality Traits in Xuanhe Pigs[J]. China Animal Husbandry & Veterinary Medicine, 2026, 53(2): 879-891.
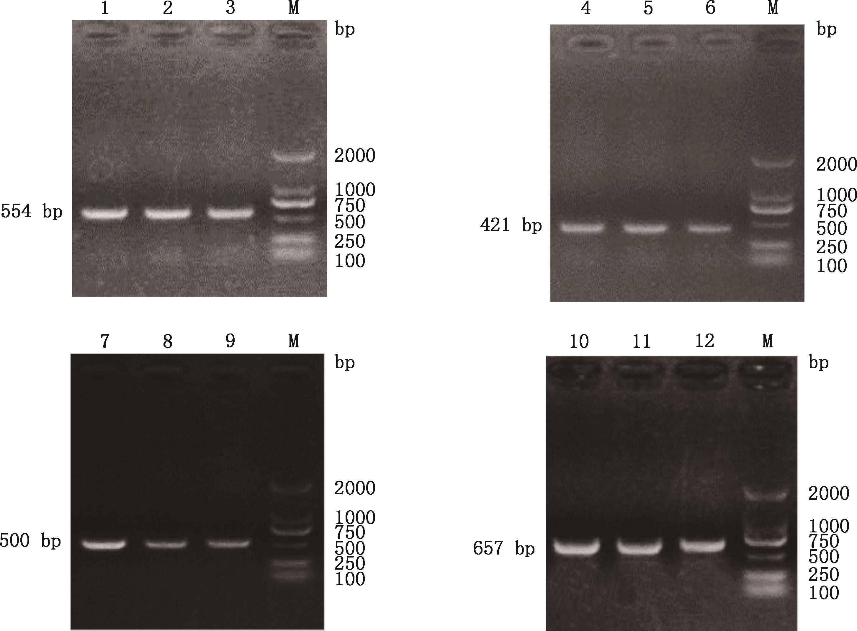
Table 1
Amplification primers of ADRP and FASN genes"
引物 Primers | 引物序列 Primer sequences (5'→3') | 位置 Location | 产物大小 Size of product/bp |
|---|---|---|---|
| ADRP | F: AGGGTTGTTTGTGAGGATTTT R: GCTAGGCTCTGACCAGTCTGT | 内含子8、外显子8 | 763 |
| FASN-1 | F: CTGGCCTCAGGCAGAGGGTCTG R: TTGTGAAATGTGACCTGCCCGAG | 内含子2、外显子3 | 554 |
| FASN-2 | F: TCCTTGTGACCTGTTTTCCGTTCC R: CGGCGGGAGGTTGTCAGGAAG | 内含子3、外显子4、内含子5 | 421 |
| FASN-3 | F: CGGACAGCAGCCGAGACCCTT R: ACGGCCTCCGCACGGCAATAG | 外显子5、内含子、外显子6 | 500 |
| FASN-4 | F: GGGGTAATGGTAGGCGTGAGGG R: ACAGGGAAGAGGGGCTGGGAC | 外显子21、内含子22、外显子22 | 657 |
Table 2
PCR amplification conditions for ADRP and FASN genes"
引物 Primers | 预变性 Pre-denaturation | 变性 Denaturation | 退火 Annealing/℃ | 延伸 Extension | 循环 Cycles/个 | 再延伸 Extension |
|---|---|---|---|---|---|---|
| ADRP | 94 ℃ 5 min | 94 ℃ 40 s | 61 | 72 ℃ 40 s | 35 | 72 ℃ 7 min |
| FASN-1 | 94 ℃ 5 min | 94 ℃ 35 s | 69 | 72 ℃ 35 s | 35 | 72 ℃ 7 min |
| FASN-2 | 94 ℃ 5 min | 94 ℃ 35 s | 69 | 72 ℃ 35 s | 35 | 72 ℃ 7 min |
| FASN-3 | 94 ℃ 5 min | 94 ℃ 35 s | 65 | 72 ℃ 35 s | 35 | 72 ℃ 7 min |
| FASN-4 | 94 ℃ 5 min | 94 ℃ 42 s | 68 | 72 ℃ 42 s | 35 | 72 ℃ 7 min |
Table 3
Genetic diversity of SNP of ADRP gene in Xuanhe pigs"
| SNPs | 基因型 Genotypes | 基因型频率 Genotype frequency | 等位基因 Alleles | 基因频率 Allele frequency | 卡方 χ2 | 杂合度 H | 多态信息含量 PIC |
|---|---|---|---|---|---|---|---|
| rs325276230 | AA(85) AG(33) GG(2) | 0.7083 0.2750 0.0167 | A G | 0.8458 0.1542 | 0.3558 | 0.2608 | 0.2268 |
| rs321564137 | AA(105) AG(15) | 0.8750 0.1250 | A G | 0.9375 0.0625 | 0.5333 | 0.1172 | 0.1103 |
rs81217193 | GG(81) GA(30) AA(9) | 0.6750 0.2500 0.0750 | G A | 0.8000 0.2000 | 5.7422 | 0.3200 | 0.2688 |
Table 4
Genetic diversity of SNP of FASN gene in Xuanhe pigs"
| SNPs | 基因型 Genotypes | 基因型频率 Genotype frequency | 等位基因 Allele | 基因频率 Allele frequency | 卡方 χ2 | 杂合度 H | 多态信息含量PIC |
|---|---|---|---|---|---|---|---|
| rs337531100 | TT(20) TC(66) CC(34) | 0.1667 0.5500 0.2833 | T C | 0.4417 0.5583 | 1.5919 | 0.4932 | 0.3716 |
rs324640280 | CC(90) CT(28) TT(2) | 0.7500 0.2333 0.0167 | C T | 0.8667 0.1333 | 0.0111 | 0.2311 | 0.2044 |
rs81478148 | CC(8) CT(18) TT(94) | 0.0667 0.1500 0.7833 | C T | 0.1417 0.8583 | 17.6220* | 0.2432 | 0.2136 |
rs319161464 | GG(89) GA(28) AA(3) | 0.7417 0.2333 0.0250 | G A | 0.8583 0.1417 | 0.1973 | 0.2432 | 0.2136 |
rs337267671 | GG(62) GA(53) AA(5) | 0.5167 0.4417 0.0417 | G A | 0.7375 0.2625 | 2.3757 | 0.3872 | 0.3122 |
rs342967881 | CC(18) CT(66) TT(36) | 0.1500 0.5500 0.3000 | C T | 0.4250 0.5750 | 1.8846 | 0.4888 | 0.3693 |
Table 5
Association analysis between SNP of ADRP gene and meat quality traits in Xuanhe pigs"
| SNPs | 基因型 Genotypes | IMF含量 IMF content/% | 肉色 Meat color/分 | 大理石纹 Marbling/分 | pH1 | 滴水损失 Drip loss/% |
|---|---|---|---|---|---|---|
rs325276230 | AA | 3.06±0.10Aa | 3.84±0.08 | 2.73±0.08a | 6.50±0.04Aa | 2.60±0.16 |
| AG | 2.58±0.16Bb | 4.01±0.14 | 2.53±0.13a | 6.51±0.06Aa | 2.68±0.27 | |
| GG | 2.42±0.62Bb | 3.00±0.54 | 1.75±0.52b | 5.80±0.23Bb | 1.97±1.05 | |
| a | ―0.64±0.62 | ―0.84±0.54 | ―0.98±0.53* | ―0.70±0.23** | ―0.63±1.06 | |
| d | ―0.16±0.35 | 0.59±0.30 | 0.29±0.29 | 0.35±0.13** | 0.39±0.60 | |
rs321564137 | AA | 3.00±0.09a | 3.81±0.08b | 2.69±0.08 | 6.49±0.03 | 2.64±0.15 |
| AG | 2.38±0.23b | 4.27±0.20a | 2.49±0.20 | 6.49±0.09 | 2.39±0.39 | |
| a | / | / | / | / | / | |
| d | / | / | / | / | / | |
rs81217193 | GG | 3.04±0.10a | 3.84±0.09 | 2.69±0.08 | 6.50±0.04 | 2.56±0.17 |
| GA | 2.55±0.17b | 4.00±0.15 | 2.60±0.14 | 6.49±0.06 | 2.82±0.29 | |
| AA | 2.99±0.29b | 3.75±0.26 | 2.55±0.25 | 6.37±0.11 | 2.39±0.50 | |
| a | ―0.05±0.31 | ―0.09±0.27 | ―0.15±0.26 | ―0.13±0.12 | ―0.18±0.52 | |
| d | ―0.47±0.23* | 0.21±0.20 | ―0.02±0.19 | 0.06±0.08 | 0.35±0.38 |
Table 6
Association analysis between SNP of FASN gene and meat quality traits in Xuanhe pigs"
| SNPs | 基因型 Genotypes | IMF含量 IMF content/% | 肉色 Meat color/分 | 大理石纹 Marbling/分 | pH1 | 滴水损失 Drip loss/% |
|---|---|---|---|---|---|---|
| rs337531100 | TT | 2.79±0.20b | 3.97±0.17 | 2.53±0.17 | 6.53±0.07 | 2.76±0.34 |
| TC | 2.85±0.11b | 3.85±0.10 | 2.61±0.09 | 6.46±0.04 | 2.56±0.19 | |
| CC | 3.18±0.16a | 3.83±0.13 | 2.87±0.13 | 6.53±0.06 | 2.61±0.26 | |
| a | 0.33±0.19 | ―0.03±0.16 | 0.26±0.16 | 0.07±0.07 | 0.05±0.32 | |
| d | ―0.23±0.22 | 0.13±0.19 | ―0.21±0.19 | 0.03±0.08 | 0.18±0.38 | |
| rs324640280 | CC | 2.95±0.10 | 3.87±0.08ab | 2.63±0.08 | 6.48±0.04 | 2.60±0.17 |
| CT | 2.81±0.18 | 3.79±0.14b | 2.73±0.14 | 6.55±0.06 | 2.57±0.28 | |
| TT | 3.37±0.63 | 4.75±0.54a | 3.00±0.53 | 6.25±0.23 | 3.21±1.05 | |
| a | 0.41±0.64 | 0.88±0.55 | 0.37±0.54 | ―0.23±0.24 | 0.60±1.07 | |
| d | ―0.35±0.37 | ―0.52±0.31 | ―0.09±0.30 | 0.19±0.13 | ―0.33±0.60 | |
| rs81478148 | CC | 2.71±0.32 | 3.94±0.26ABab | 2.13±0.26b | 6.71±0.12a | 2.19±0.52b |
| CT | 2.92±0.21 | 4.43±0.17Aa | 2.89±0.17a | 6.52±0.08a | 3.30±0.35a | |
| TT | 2.95±0.10 | 3.75±0.08Bb | 2.67±0.08a | 6.47±0.04b | 2.51±0.16b | |
| a | ―0.03±0.23 | 0.68±0.19* | 0.22±0.19 | 0.05±0.08 | 0.79±0.39* | |
| d | ―0.23±0.34 | ―0.15±0.28 | ―0.65±0.28* | 0.21±0.12 | ―0.72±0.55 | |
| rs319161464 | GG | 2.96±0.10 | 3.89±0.08 | 2.65±0.08 | 6.49±0.04a | 2.63±0.17 |
| GA | 2.83±0.18 | 3.74±0.14 | 2.69±0.14 | 6.55±0.06a | 2.52±0.28 | |
| AA | 3.00±0.52 | 4.48±0.44 | 2.84±0.43 | 6.10±0.19b | 2.74±0.86 | |
| a | 0.04±0.53 | 0.60±0.45 | 0.19±0.44 | ―0.38±0.19* | 0.11±0.88 | |
| d | ―0.14±0.32 | ―0.44±0.27 | ―0.05±0.26 | 0.25±0.11* | ―0.17±0.52 | |
| rs337267671 | GG | 2.99±0.12 | 3.82±0.10 | 2.84±0.09a | 6.49±0.04 | 2.59±0.19 |
| GA | 2.90±0.13 | 3.90±0.11 | 2.50±0.10b | 6.47±0.05 | 2.62±0.21 | |
| AA | 2.42±0.40 | 4.14±0.35 | 2.09±0.33b | 6.72±0.15 | 2.67±0.75 | |
| a | ―0.57±0.42 | 0.32±0.36 | ―0.75±0.34* | 0.22±0.15 | 0.08±0.77 | |
| d | 0.20±0.24 | ―0.09±0.21 | 0.04±0.20 | ―0.14±0.09 | ―0.01±0.44 | |
| rs342967881 | CC | 2.64±0.21b | 4.13±0.18 | 2.42±0.17b | 6.56±0.08 | 2.87±0.36 |
| CT | 2.93±0.12ab | 3.85±0.10 | 2.65±0.09a | 6.47±0.04 | 2.54±0.19 | |
| TT | 3.09±0.16a | 3.75±0.13 | 2.84±0.13a | 6.49±0.06 | 2.59±0.26 | |
| a | ―0.44±0.26 | 0.38±0.22 | ―0.42±0.22* | 0.07±0.10 | 0.28±0.45 | |
| d | 0.07±0.17 | ―0.09±0.15 | 0.02±0.14 | ―0.06±0.06 | ―0.19±0.29 |
| [1] | 郭秀兰, 唐仁勇, 刘达玉, 等. 肌内脂肪对猪肉品质的影响及其营养调控作用[J]. 中国畜牧兽医, 2011, 38(5):214-217. |
| GUO X L, TANG R Y, LIU D Y, et al. Effect of intramuscular fat on pork quality and dietary nutritional regulation for improving intramuscular fat[J]. China Animal Husbandry & Veterinary Medicine, 2011, 38(5):214-217. (in Chinese) | |
| [2] | ZAPPATERRA M, DESERTI M, MAZZA R, et al. A gene and protein expression study on four porcine genes related to intramuscular fat deposition[J]. Meat Science, 2016, 121:27-32. |
| [3] | HOU X H, ZHANG R, YANG M, et al. Characteristics of transcriptome and metabolome concerning intramuscular fat content in Beijing Black pigs[J]. Journal of Agricultural and Food Chemistry, 2023, 71(42):15874-15883. |
| [4] | KIMMEL A R, BRASAEMLE D L, MCANDREWS-HILL M, et al. Adoption of PERILIPIN as a unifying nomenclature for the mammalian PAT-family of intracellular lipid storage droplet proteins[J]. Journal of Lipid Research, 2010, 51(3):468-471. |
| [5] | GAO J, SERRERO G. Adipose differentiation related protein (ADRP) expressed in transfected COS-7 cells selectively stimulates long chain fatty acid uptake[J]. Journal of Biological Chemistry,1999,274(24):16825-16830. |
| [6] | IMAMURA M, INOGUCHI T, IKUYAMA S, et al. ADRP stimulates lipid accumulation and lipid droplet formation in murine fibroblasts[J]. American Journal of Physiology Endocrinology and Metabolism, 2002, 283(4):775-783. |
| [7] | LISTENBERGER L L, OSTERMEYER-FAY A G, GOLDBERG E B, et al. Adipocyte differentiation-related protein reduces the lipid droplet association of adipose triglyceride lipase and slows triacylglycerol turnovers[J]. Journal of Lipid Research, 2007, 48(12):2751-2761. |
| [8] | LI J, YANG C, REN P, et al. Transcriptomics analysis of Daheng broilers reveals that PLIN2 regulates chicken preadipocyte proliferation, differentiation and apoptosis[J]. Molecular Biology Reports, 2021, 48(12):7985-7997. |
| [9] | BRASAEMLE D L, BARBER T, WOLINS N E, et al. Adipose differentiation-related protein is an ubiquitously expressed lipid storage droplet-associated protein[J]. Journal of Lipid Research, 1997, 38(11):2249-2263. |
| [10] | CONTE M, ARMANI A, CONTE G, et al. Muscle-specific perilipin 2 down-regulation affects lipid metabolism and induces myofiber hypertrophy[J]. Journal of Cachexia, Sarcopenia and Muscle, 2019, 10(1):95-110. |
| [11] | NOCETTI D, ESPINOSA A, PINO-DE LA FUENTE F, et al. Lipid droplets are both highly oxidized and Plin2-covered in hepatocytes of diet-induced obese mice[J]. Applied Physiology, Nutrition, and Metabolism, 2020, 45(12):1368-1376. |
| [12] | 唐 娜, 江俊才, 王梦迪, 等. 不同乳脂率德宏奶水牛乳腺组织脂滴形成相关基因的表达研究[J].中国畜牧兽医, 2021, 48(12):4545-4553. |
| TANG N, JIANG J C, WNAG M D, et al. Expression of genes related to lipid droplet formation in mammary tissue of Dehong dairy buffalo with different milk fat contents[J]. China Animal Husbandry & Veterinary Medicine, 2021, 48(12):4545-4553. (in Chinese) | |
| [13] | DAVOLI R, GANDOLFI G, BRAGLIA S, et al. New SNP of the porcine perilipin 2 (PLIN2) gene, association with carcass traits and expression analysis in skeletal muscle[J]. Molecular Biology Reports, 2011, 38(3):1575-1583. |
| [14] | GOL S, ROS-FREIXEDES R, ZAMBONELLI P, et al. Relationship between perilipin genes polymorphisms and growth, carcass and meat quality traits in pigs[J]. Journal of Animal Breeding and Genetics, 2016, 133(1):24-30. |
| [15] | 李俄然, 曾韦植, 王孝义, 等. 宣和猪PLIN2基因5'-UTR和3'-UTR多态性及其与生长性状的关联分析[J].云南农业大学学报(自然科学), 2020, 35(1):68-74. |
| LI E R, ZENG W Z, WANG X Y, et al. Polymorphisms of 5'-UTR and 3'-UTR of PLIN2 gene and their associations with growth traits in Xuanhe pigs[J]. Journal of Yunnan Agricultural University (Natural Science), 2020, 35(1):68-74. (in Chinese) | |
| [16] | KIM T H, CHOI B H, CHANG G W, et al. Molecular characterization and chromosomal mapping of porcine adipose differentiation-related protein (ADRP)[J]. Journal of Animal Breeding and Genetics, 2005, 122(4):240-246. |
| [17] | 吴俊静, 阮 航, 乔 木, 等. 猪PLIN2基因变异筛选及其与猪肌内脂肪含量性状的关联分析[J]. 中国畜牧杂志, 2021, 57(S1):158-163. |
| WU J J, RUAN H, QIAO M, et al. Screening for PLIN2 gene variants in pigs and association analysis with intramuscular fat content traits[J]. Chinese Journal of Animal Science, 2021, 57(S1):158-163. (in Chinese) | |
| [18] | WAKIL S J, PORTER J W, GIBSON D M. Studies on the mechanism of fatty acid synthesis: Ⅰ. Preparation and purification of an enzyme system for reconstruction of fatty acid synthesis[J]. Biochimica et Biophysica Acta, 1957,24(3):453-461. |
| [19] | SMITH S, WITKOWSKI A, JOSHI A K. Structural and functional organization of the animal fatty acid synthase[J]. Progress in Lipid Research, 2003, 42(4):289-317. |
| [20] | 刘华涛, 刘怡冰, 石 咏, 等. 鉴别参与调控长白猪脂肪沉积的重要基因和lncRNA[J]. 中国畜牧杂志, 2021, 57(S1):143-151. |
| LIU H T, LIU Y B, SHI Y, et al. Identification of key genes and lncRNA in the regulation of fat deposition in Landrace pigs[J]. Chinese Journal of Animal Science, 2021, 57(S1):143-151. (in Chinese) | |
| [21] | ZAPPATERRA M, LUISE D, ZAMBONELLI P, et al. Association study between backfat fatty acid composition and SNPs in candidate genes highlights the effect of FASN polymorphism in Large White pigs[J]. Meat Science, 2019, 156:75-84. |
| [22] | DENG L, LI W, LIU W, et al. Integrative metabolomic and transcriptomic analysis reveals difference in glucose and lipid metabolism in the longissimus muscle of Luchuan and Duroc pigs[J]. Frontiers in Genetics, 2023, 14:1128033. |
| [23] | KUMAR S T, ZHENG Y, XU J, et al. Transcriptome and metabolome insights into key genes regulating fat deposition and meat quality in pig breeds[J]. Animals,2024,14(24):3560. |
| [24] | 吴正明, 龚绍荣, 赵加鼎,等. FASN基因在保山猪3个组织中的表达量与背肌营养物质含量的关联分析[J].中国畜牧杂志, 2022, 58(8):229-234. |
| WU Z M, GONG S R, ZHAO J D, et al. Association analysis of FASN gene expression with dorsal muscle nutrient content in three tissues of Baoshan pigs[J]. Chinese Journal of Animal Science, 2022, 58(8):229-234. (in Chinese) | |
| [25] | 张 雄, 史开志, 张 勇, 等. 猪FASN基因表达与胴体及肉质性状相关性研究[J]. 黑龙江畜牧兽医, 2021, 9:64-67. |
| ZHANG X, SHI K Z, ZHANG Y, et al. Study on the correlation between FASN gene expression and carcass and meat quality traits in pigs[J]. Heilongjiang Animal Science and Veterinary Medicine, 2021, 9:64-67. (in Chinese) | |
| [26] | SHANG P, LI W, LIU G, et al. Identification of lncRNAs and genes responsible for fatness and fatty acid composition traits between the Tibetan and Yorkshire pigs[J]. International Journal of Genomics, 2019,2019:5070975. |
| [27] | CRESPO-PIAZUELO D, CRIADO-MESAS L, REVILLA M, et al. Identification of strong candidate genes for backfat and intramuscular fatty acid composition in three crosses based on the Iberian pig[J]. Scientific Reports, 2020, 10(1):13962. |
| [28] | LIM K S, LEE K T, PARK J E, et al. Identification of differentially expressed genes in longissimus muscle of pigs with high and low intramuscular fat content using RNA sequencing[J]. Animal Genetics, 2017, 48(2):166-174. |
| [29] | WANG H, WANG J, YANG D D, et al. Expression of lipid metabolism genes provides new insights into intramuscular fat deposition in Laiwu pigs[J]. Asian-Australasian Journal of Animal Sciences, 2020, 33(3):390-397. |
| [30] | WANG Y, MA C, SUN Y, et al. Dynamic transcriptome and DNA methylome analyses on longissimus dorsi to identify genes underlying intramuscular fat content in pigs[J]. BMC Genomics, 2017, 18(1):780. |
| [31] | 谭 娅, 李 亮, 雷宇航, 等. 高低肌内脂肪猪背最长肌关键基因表达差异分析[J]. 南方农业学报, 2022, 53(4):899-907. |
| TAN Y, LI L, LEI Y H, et al. Expression difference analysis of hub genes between high and low intramuscular fat content in longissimus dorsi of pigs[J]. Journal of Southern Agriculture, 2022, 53(4):899-907. (in Chinese) | |
| [32] | 杨烨城, 黄秋艳, 辛海云, 等. 藏猪和杜藏猪生长、肉质性状及脂肪沉积相关基因的表达差异分析[J].南方农业学报, 2022, 53(4):926-934. |
| YANG Y C, HUANG Q Y, XIN H Y, et al. Analysis of differences in growth,meat quality traits and expression of genes related to fat deposition between Tibetan and Duzang pigs[J]. Journal of Southern Agriculture, 2022, 53(4):926-934. (in Chinese) | |
| [33] | 白云华, 王立贤, 陈华林, 等. 北京黑猪与杜洛克猪肌内脂肪沉积相关基因的筛选[J]. 中国畜牧杂志, 2024, 60(9):118-124. |
| BAI Y H, WANG L X, CHEN H L, et al. Identification of genes related to intramuscular fat deposition in Beijing Black pigs and Duroc pigs[J]. Chinese Journal of Animal Science, 2024, 60(9):118-124. (in Chinese) | |
| [34] | 鲁绍雄, 李明丽, 严达伟, 等. 云南地方猪种质特性及其保种与多样化利用[J]. 云南农业大学学报(自然科学), 2020, 35(6):1096-1105. |
| LU S X, LI M L, YAN D W, et al. Germplasm characteristics, conservation and various utilization of Yunnan local pig breeds[J]. Journal of Yunnan Agricultural University (Natural Science), 2020, 35(6):1096-1105. (in Chinese) | |
| [35] | 鲁绍雄, 连林生, 李庆科, 等. 基于乌金猪深度发掘的优质高效新品种选育[J]. 猪业科学, 2016, 33(12):120-122. |
| LU S X, LIAN L S, LI Q K, et al. Breeding of high-quality and efficient new varieties through in-depth exploration of Wujin pig genetic resources[J]. Swine Industry Science, 2016, 33(12):120-122. (in Chinese) | |
| [36] | 鲁绍雄, 连林生. SAS统计分析系统在畜牧科学中的应用[M]. 昆明: 云南科技出版社, 2003. |
| LU S X, LIAN L S. Application of SAS Statistical Analysis System in Animal Husbandry Science[M]. Kunming: Yunnan Science and Technology Press, 2003. (in Chinese) | |
| [37] | 宋玉朴, 孙永峰, 冯自强, 等. SNP分型检测技术及其在畜禽遗传和育种中的应用研究进展[J]. 中国畜牧杂志, 2021, 57(7):37-42. |
| SONG Y P, SUN Y F, FENG Z Q, et al. Advances in SNP typing techniques and their application in genetic and breeding of livestock and poultry[J]. Chinese Journal of Animal Science, 2021, 57(7):37-42. (in Chinese) | |
| [38] | ZHOU J, WU J, YANG T, et al. Integration of ATAC-Seq and RNA-Seq reveals VDR-SELENBP1 axis promotes adipogenesis of porcine intramuscular preadipocytes[J]. International Journal of Molecular Sciences, 2024, 25(23):12528. |
| [39] | LI W Z, ZHAO S M, HUANG Y, et al. Expression of lipogenic genes during porcine intramuscular preadipocyte differentiation[J]. Research in Veterinary Science, 2012, 93(3): 1190-1194. |
| [40] | ZAMBONELLI P, COMELLA M, BRAGLIA S, et al. Skeletal muscle expression analysis of fat metabolism genes in pig[J]. Italian Journal of Animal Science, 2009, 8(S2):171-173. |
| [41] | GRZES M, SADKOWSKI S, RZEWUSKA K, et al. Pig fatness in relation to FASN and INSIG2 genes polymorphism and their transcript level[J]. Molecular Biology Reports, 2016, 43(5):381-389. |
| [1] | ZHANG Haijuan, ZHAO Yong, YANG Hongwen, WU Yan, XIANG Jin, FU Hongmei, DING Yijie, ZHANG Yiyu. Polymorphism of GH1 Gene and Its Association with Growth Traits and Functional Prediction of GH1 Protein in Guanling Cattle [J]. China Animal Husbandry & Veterinary Medicine, 2025, 52(9): 4226-4236. |
| [2] | CAO Lihua, LI Huali, REN Huibo, LUO Baoming, LIU Yingying, CUI Qingming, DENG Yuan, ZHU Ji, HU Xionggui, LUO Jianhui, ZUO Jianbo, CHEN Chen, PENG Yinglin. Effects of Gender and Slaughter Weight on Carcass and Meat Quality of Guangyi Black Pigs [J]. China Animal Husbandry & Veterinary Medicine, 2025, 52(6): 2612-2625. |
| [3] | YANG Jinlin, LI Hui, ZHAO Depeng, SHI Yushi, LONG Xia, TAN Qisong. Polymorphisms of EDNRB2 Gene and Its Association with Skin Color Traits in Chishui Black-bone Chickens [J]. China Animal Husbandry & Veterinary Medicine, 2025, 52(2): 759-770. |
| [4] | JIA Qianru, LUO Xuan, TIAN Tian, WANG Lei, MA Yuhong, SHANG Yuejun, XU Fafang, MO Huashan, WU Guofang. Effects of Crossbreeding on Meat Quality and Regulatory Mechanism of Local Pig Breeds and Introduced Pig Breeds [J]. China Animal Husbandry & Veterinary Medicine, 2025, 52(12): 5762-5771. |
| [5] | JIA Yuxuan, HAN Fei, ZENG Guanghu, SHEN Xiangyu, GONG Ting. Polymorphism of TAS1R1 Gene and Its Association with Growth Traits in Guizhou Indigenous Pigs [J]. China Animal Husbandry & Veterinary Medicine, 2025, 52(12): 5809-5820. |
| [6] | GOU Shuaishuai, LIU Lingling, CAO Hang, CHEN Qiuming, JI Feilong, LIU Wujun. Screening and Identification of Specific SNP for 5 Local Sheep Breeds in Xinjiang Based on Whole-genome Data [J]. China Animal Husbandry & Veterinary Medicine, 2025, 52(10): 4754-4764. |
| [7] | YAN Gang, XING Tianqi, WANG Yubin, JIANG Shan, ZHANG Shuai, XU Di, ZHANG Kun, WANG Mengying, LIANG Jing, LAN Ganqiu, LI Kui, HUANG Sanwen. Effects of Substituting Dried Potatoes for Corn on Growth Performance,Meat Quality Traits and Routine Blood Indexes of Growing-finishing Pigs [J]. China Animal Husbandry & Veterinary Medicine, 2024, 51(8): 3345-3354. |
| [8] | WANG Jing, JIA Mingyang, CHEN Junfeng, REN Qiaoling, LIU Fujiu, MO Delin, ZHANG Jiaqing, WANG Lei, XING Baosong. Effects of Walnut Green Husks Powder and Its Extracts on Growth Performance,Carcass Traits and Meat Quality of Finishing Pigs [J]. China Animal Husbandry & Veterinary Medicine, 2024, 51(6): 2451-2459. |
| [9] | ZHAO Yong, YING Qixin, LI Wei, XIONG Li, YANG Hongwen, WANG Chunyuan, WU Yan, XIANG Jin, ZHANG Yiyu. Polymorphisms of KRT10 Gene and Its Association Analysis with Reproductive Traits in Kele Pigs [J]. China Animal Husbandry & Veterinary Medicine, 2024, 51(6): 2508-2516. |
| [10] | XIAO Wen, HAN Yong, YANG Hongwen, LONG Yong, SU Chaozhi, YUAN Chao, YANG Yang, WANG Defeng, ZHAO Yanpin, QIN Yang, YIN Fuyue. Comparative Study on Fattening Performance,Slaughter Performance and Meat Quality of Black Goats and Their Hybrid Offspring [J]. China Animal Husbandry & Veterinary Medicine, 2024, 51(6): 2429-2439. |
| [11] | ZHENG Chunting, HU Yunyang, ZHANG Chunguang, YE Ziyuan, ZHANG Chen, LUO Yunyan, QIN Lei, PENG Zixuan, YU Yifei, XIAN Wangying, CHU Han, HONG Liang, ZHANG Jianbin, PU Lei. Research on Identification Method of Foreign Ternary Purebred, Binary,Ternary and Multiple Backcross Pigs [J]. China Animal Husbandry & Veterinary Medicine, 2024, 51(3): 1160-1170. |
| [12] | ZHANG Rui, MU Chunyu, TANG Qingping, BU Zhu, YANG Mingjun, XIA Aiping, YANG Xiaoming. Polymorphism of GnIH Gene and Its Correlation with Egg-laying Traits in Pigeons [J]. China Animal Husbandry & Veterinary Medicine, 2023, 50(4): 1412-1421. |
| [13] | TAN Yuancheng, LUO Hualun, ZHANG Yiyu, YANG Suan, WANG Yingtong, WANG Chunyuan. Polymorphism of MyoG Gene and Its Association with Body Size and Meat Traits in White Feather King Pigeons [J]. China Animal Husbandry & Veterinary Medicine, 2023, 50(4): 1461-1471. |
| [14] | LONG Anju, YANG Suan, AI Jinxin, WENG Jimei, ZHANG Yiyu, CAI Huifen, LUO Weixing. Polymorphism of MC4R Gene and Its Association with Growth Traits in Qianbei Ma Goats [J]. China Animal Husbandry & Veterinary Medicine, 2023, 50(1): 198-209. |
| [15] | YANG Man, LIU Hai, ZHANG Run, HU Ziping, NIU Naiqi, WANG Lixian, ZHANG Longchao. Association Analysis of Polymorphism of MYH3 and MYH13 Genes with Meat Quality Traits in Beijing Black Pigs [J]. China Animal Husbandry & Veterinary Medicine, 2022, 49(9): 3428-3437. |
| Viewed | ||||||
|
Full text |
|
|||||
|
Abstract |
|
|||||