China Animal Husbandry & Veterinary Medicine ›› 2026, Vol. 53 ›› Issue (1): 378-389.doi: 10.16431/j.cnki.1671-7236.2026.01.034
• Preventive Veterinary Medicine • Previous Articles Next Articles
ZHANG Xinxin1(
), ZHANG Yue1, CUI An1, LI Jinru1, ZHANG Yunjing1, HE Lixia1, YANG Guijun1, REN Yudong2(
), LI Guangxing1(
)
Received:2025-06-27
Online:2026-01-05
Published:2025-12-26
Contact:
REN Yudong, LI Guangxing
E-mail:zhangxinxin617@163.com;ydren@neau.edu.cn;ligx@neau.edu.cn
CLC Number:
ZHANG Xinxin, ZHANG Yue, CUI An, LI Jinru, ZHANG Yunjing, HE Lixia, YANG Guijun, REN Yudong, LI Guangxing. Isolation, Identification and Genetic Evolution Analysis of PEDV Epidemic Strains in Heilongjiang Province[J]. China Animal Husbandry & Veterinary Medicine, 2026, 53(1): 378-389.
Table 1
Amplification primer sequences of PEDV ORF3, S1 and S2 genes"
引物 Primer | 引物序列 Primer sequences (5′→3′) | 产物大小 Product size/bp |
|---|---|---|
| PEDV-ORF3-F | GCGCATGTTTCTTGGACTTTTTC | 675 |
| PEDV-ORF3-R | TCATTCACTAATTGTAGCATACTCG | |
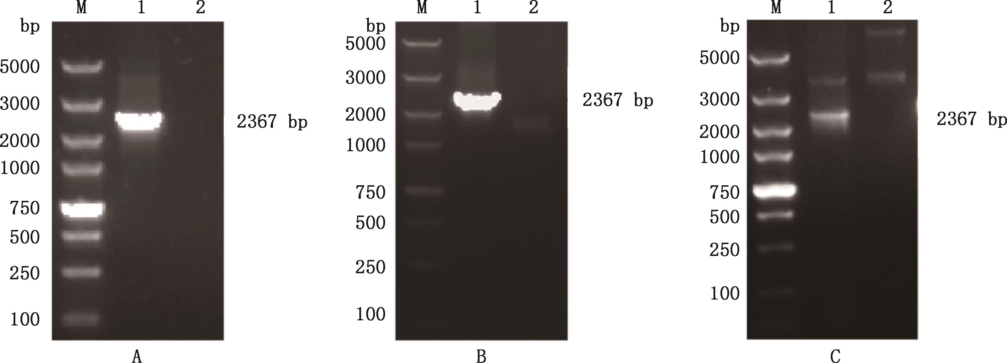
| PEDV-S1-F | GTCAACGTAAACAAATGAGG | 2 367 |
| PEDV-S1-R | ACAGGCGTGTTGTAAAGCTG | |
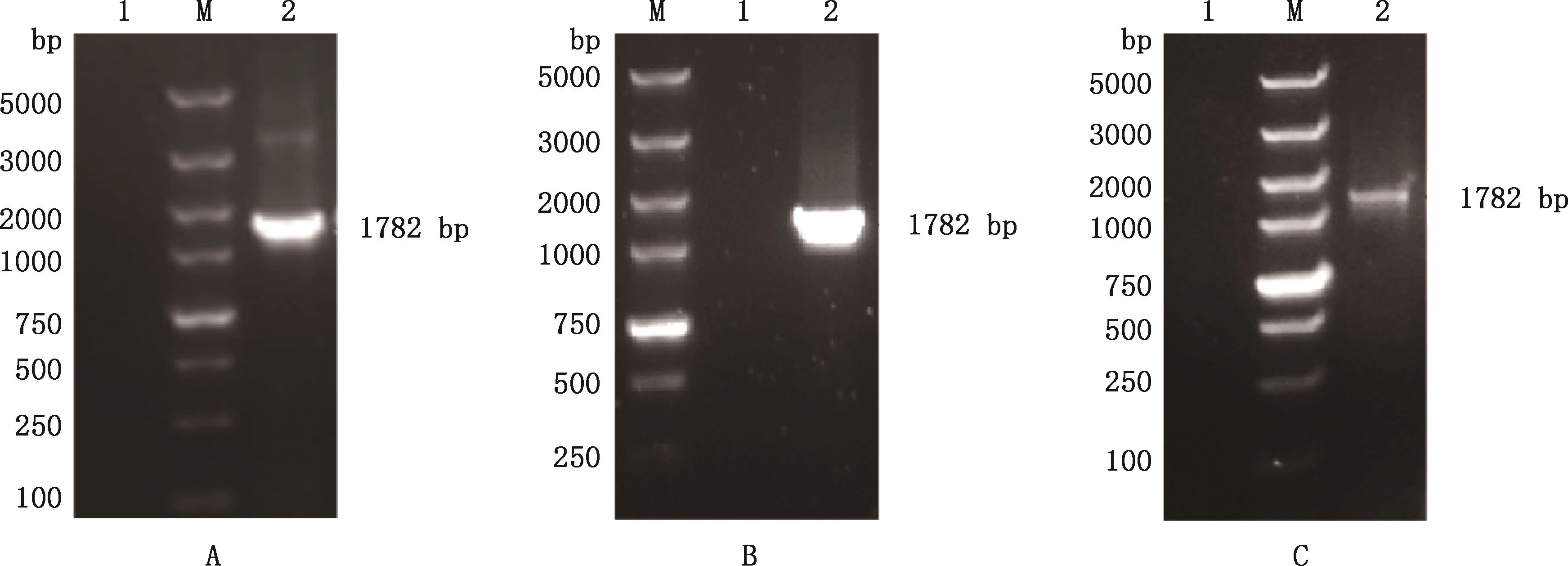
| PEDV-S2-F | AAGTCAAGATTGCACCCACG | 1 782 |
| PEDV-S2-R | CCAAGAAACATCACTGCACG |
Table 2
Reference strains of PEDV"
毒株 Strains | 基因型 Genotype | 地区 Location | 年份 Year | GenBank登录号 GenBank accession No. |
|---|---|---|---|---|
| CV777 | GⅠa | 瑞士 | 1978 | AF353511.1 |
| attenuated DR13 | GⅠb | 韩国 | 1999 | JQ023162.1 |
| LZC | GⅠa | 中国甘肃 | 2006 | EF185992.1 |
| Italy/7239/2009 | / | 意大利 | 2009 | KR061458.1 |
| LC | GⅡb | 中国广东 | 2011 | JX489155.1 |
| SM98 | GⅠa | 韩国 | 2011 | GU937797.1 |
| AJ1102-2012 | GⅡb | 中国湖北 | 2012 | JX188454.1 |
| AH2012 | GⅡa | 中国安徽 | 2012 | KC210145.1 |
| GD-A | GⅡb | 中国广东 | 2012 | JX112709.1 |
| CH/YNKM-8/2013 | GⅡb | 中国武汉 | 2013 | KF761675.1 |
| OH851 | GⅡc | 美国 | 2013 | KJ399978.1 |
| USA/Iowa/18984/2013 | GⅡa | 美国 | 2013 | KF804028.1 |
| CBR2 | GⅡb | 泰国 | 2014 | KR610994.1 |
| GER/L00719/2014 | GⅡc | 德国 | 2014 | LM645058.1 |
| ON-018 | GⅡa | 加拿大 | 2014 | KM189367.2 |
| PEDV-LS | GⅡb | 中国江苏 | 2014 | KM609211.1 |
| SC1402 | GⅠb | 中国广东 | 2014 | KP162057.1 |
| FR/001/2014 | GⅡc | 法国 | 2015 | KR011756.1 |
| PEDV/USA/Texas134/2015 | GⅡa | 美国 | 2015 | KU982966.1 |
| PC21A | GⅡa | 美国 | 2015 | KR078299.1 |
| ZL29 | GⅡc | 中国武汉 | 2015 | KU847996.1 |
| 1842/2016 ITA | GⅡc | 意大利 | 2016 | KY111278.1 |
| 85-7-C40 | GⅠa | 中国江苏 | 2017 | KY486714.1 |
| KUPE21 | / | 韩国 | 2017 | MF737355.1 |
| PEDV-SX | GⅠb | 中国山西 | 2017 | KY420075.1 |
| TW/Yunlin550/2018 | GⅡa | 中国台湾 | 2018 | MK673545.1 |
| [1] | LEI J, MIAO Y, BI W, et al. Porcine epidemic diarrhea virus: Etiology, epidemiology, antigenicity, and control strategies in China[J]. Animals, 2024, 14(2): 294. |
| [2] | PENG Q, FU P, ZHOU Y, et al. Phylogenetic analysis of Porcine epidemic diarrhea virus (PEDV) during 2020—2022 and isolation of a variant recombinant PEDV strain[J]. International Journal of Molecular Sciences, 2024, 25(20): 10878. |
| [3] | HUANG Z X, ZHOU S T, YANG Z B, et al. Molnupiravir inhibits Porcine epidemic diarrhea virus infection in vitro [J]. Viruses, 2023, 15(6): 1317. |
| [4] | JUNG K, SAIF L J, WANG Q. Porcine epidemic diarrhea virus (PEDV): An update on etiology, transmission, pathogenesis, and prevention and control[J]. Virus Research, 2020, 286: 198045. |
| [5] | ZHUANG L, ZHAO Y, SHEN J, et al. Advances in Porcine epidemic diarrhea virus research: Genome, epidemiology, vaccines, and detection methods[J]. Discover Nano, 2025, 20(1): 48. |
| [6] | LIN F, ZHANG H, LI L, et al. PEDV: Insights and advances into types, function, structure, and receptor recognition[J]. Viruses, 2022, 14(8): 1744. |
| [7] | THAVORASAK T, CHULANETRA M, GLAB-AMPAI K, et al. Enhancing epitope of PEDV spike protein[J]. Frontiers in Microbiology, 2022, 13: 933249. |
| [8] | WALLS A C, TORTORICI M A, BOSCH B J, et al. Cryo-electron microscopy structure of a Coronavirus spike glycoprotein trimer[J]. Nature, 2016, 531(7592): 114-117. |
| [9] | LIU C, TANG J, MA Y, et al. Receptor usage and cell entry of Porcine epidemic diarrhea coronavirus[J]. Journal of Virology, 2015, 89(11): 6121-6125. |
| [10] | HU Y, XIE X, YANG L, et al. A comprehensive view on the host factors and viral proteins associated with Porcine epidemic diarrhea virus infection[J]. Frontiers in Microbiology, 2021, 12: 762358. |
| [11] | 张辛铭,杨顺利,马雪婷,等. 3株临床分离的猪流行性腹泻病毒S基因克隆及序列分析[J].动物医学进展,2020,41(7): 16-20. |
| ZHANG X M, YANG S L, MA X T, et al. Cloning and sequence analysis of the S gene of 3 strains of Porcine epidemic diarrhea virus isolated from clinical cases[J]. Progress in Veterinary Medicine, 2020, 41(7): 16-20. (in Chinese) | |
| [12] | ZUO Q, ZHAO R, LIU J, et al. Epidemiology and phylogeny of spike gene of Porcine epidemic diarrhea virus from Yunnan, China[J]. Virus Research, 2018, 249: 45-51. |
| [13] | 王恩雨.2015—2016年中国猪流行性腹泻病毒S1基因分子流行病学调查及病毒分离与鉴定[D].大庆:黑龙江八一农垦大学,2018. |
| WANG E Y. Molecular epidemiological investigation of the S1 gene of Porcine epidemic diarrhea virus in China from 2015 to 2016 and isolation and identification of the virus[D]. Daqing: Heilongjiang Bayi Agricultural University, 2018. (in Chinese) | |
| [14] | WANG X W, WANG M, ZHAN J, et al. Pathogenicity and immunogenicity of a new strain of Porcine epidemic diarrhea virus containing a novel deletion in the N gene[J]. Veterinary Microbiology, 2020, 240: 108511. |
| [15] | ZHANG H, HAN F, YAN X, et al. Prevalence and phylogenetic analysis of spike gene of Porcine epidemic diarrhea virus in Henan province, China in 2015—2019[J]. Infection, Genetics and Evolution, 2021, 88: 104709. |
| [16] | YU J, CHAI X, CHENG Y, et al. Molecular characteristics of the spike gene of Porcine epidemic diarrhoea virus strains in Eastern China in 2016[J]. Virus Research, 2018, 247: 47-54. |
| [17] | KAEWBORISUTH C, HE Q, JONGKAEWWATTANA A. The accessory protein ORF3 contributes to Porcine epidemic diarrhea virus replication by direct binding to the spike protein[J]. Viruses, 2018, 10(8): 399. |
| [18] | LU Y, SU X, DU C, et al. Genetic diversity of Porcine epidemic diarrhea virus with a naturally occurring truncated ORF3 gene found in Guangxi, China[J]. Frontiers in Veterinary Science, 2020, 7: 435. |
| [19] | WANG X, CHEN J, SHI D, et al. Immunogenicity and antigenic relationships among spike proteins of Porcine epidemic diarrhea virus subtypes G1 and G2[J]. Archives of Virology, 2016,161 (3): 537-547. |
| [20] | YU K, LIU X, LU Y, et al. Biological characteristics and pathogenicity analysis of a low virulence G2a Porcine epidemic diarrhea virus[J]. Microbiology Spectrum, 2023,11 (3): e0453522. |
| [21] | ZHANG Y, CHEN H, YU J, et al. Comparative transcriptomic analysis of Porcine epidemic diarrhea virus epidemic and classical strains in IPEC-J2 cells[J]. Veterinary Microbiology, 2022, 273: 109540. |
| [22] | 冯 蕊.猪流行性腹泻病毒的分离鉴定及其基因组测序分析[D].哈尔滨:东北农业大学,2018. |
| FENG R. Isolation, identification and genome sequencing analysis of Porcine epidemic diarrhea virus[D]. Harbin: Northeast Agricultural University, 2018. (in Chinese) | |
| [23] | JI Z, SHI D, SHI H, et al. A Porcine epidemic diarrhea virus strain with distinct characteristics of four amino acid insertion in the COE region of spike protein[J]. Veterinary Microbiology, 2021, 253: 108955. |
| [24] | LIANG W, ZHOU D, GENG C, et al. Isolation and evolutionary analyses of Porcine epidemic diarrhea virus in Asia[J]. PeerJ, 2020, 8: 10114. |
| [25] | KIM O, CHAE C, KWEON C H. Monoclonal antibody-based immunohistochemical detection of Porcine epidemic diarrhea virus antigen in formalin-fixed, paraffin-embedded intestinal tissues[J]. Journal of Veterinary Diagnostic Investigation, 1999, 11(5): 458-462. |
| [26] | MADSON D M, ARRUDA P H, MAGSTADT D R, et al. Characterization of Porcine epidemic diarrhea virus isolate US/Iowa/18984/2013 infection in 1-day-old cesarean-derived colostrum-deprived piglets[J]. Veterinary Pathology, 2016, 53(1): 44-52. |
| [27] | STEVENSON G W, HOANG H, SCHWARTZ K J, et al. Emergence of Porcine epidemic diarrhea virus in the United States: Clinical signs, lesions, and viral genomic sequences[J]. Journal of Veterinary Diagnostic Investigation, 2013, 25(5): 649-654. |
| [28] | YAMAMOTO R, SOMA J, NAKANISHI M, et al. Isolation and experimental inoculation of an S indel strain of Porcine epidemic diarrhea virus in Japan[J]. Research in Veterinary Science, 2015, 103: 103-106. |
| [29] | PARK S J, MOON H J, LUO Y, et al. Cloning and further sequence analysis of the ORF3 gene of wild- and attenuated-type Porcine epidemic diarrhea viruses[J]. Virus Genes, 2008, 36(1): 95-104. |
| [30] | SI F, HU X, WANG C, et al. Porcine epidemic diarrhea virus (PEDV) ORF3 enhances viral proliferation by inhibiting apoptosis of infected cells[J]. Viruses, 2020, 12(2): 214. |
| [31] | 曲哲会,张喜文,董建国,等.2018—2020年豫南地区猪流行性腹泻病毒的遗传变异分析[J].中国兽医学报,2022,42(10):1934-1941. |
| QU Z H, ZHANG X W, DONG J G, et al. Genetic variation analysis of Porcine epidemic diarrhea virus in Southern Henan from 2018 to 2020[J]. Chinese Journal of Veterinary Science, 2022, 42(10): 1934-1941. (in Chinese) | |
| [32] | 王潇博.猪流行性腹泻病毒G1与G2基因亚型毒株抗原差异性分析[D].北京:中国农业科学院,2016. |
| WANG X B. Antigenic difference analysis of G1 and G2 genotype strains of Porcine epidemic diarrhea virus[D].Beijing: Chinese Academy of Agricultural Sciences, 2016. (in Chinese) | |
| [33] | TAN L, LI Y, HE J, et al. Epidemic and genetic characterization of Porcine epidemic diarrhea virus strains circulating in the regions around Hunan, China, during 2017—2018[J]. Archives of Virology, 2020, 165(4): 877-889. |
| [1] | ZHANG Sui, CHENG Chunjie, YANG Chun, CHEN Mengjiao, CHENG Jing, ZHOU Linyi, LI Yongqing, WANG Xiaoying, LIU Wenxiao. Isolation, Identification and Pathogenicity Analysis of Dairy Cow-derived Klebsiella pneumoniae and Mannheimia haemolytica [J]. China Animal Husbandry & Veterinary Medicine, 2026, 53(2): 903-915. |
| [2] | ZHANG Min, LI Yingxiao, ZHANG Lulu, HE Shuhai, QU Zhehui, QIN Dongsheng, LIU Jicheng, JIAO Fengchao. Whole Genome Amplification and Phylogenetic Analysis of Duck Astrovirus Type 1 Xinyang Strain [J]. China Animal Husbandry & Veterinary Medicine, 2026, 53(2): 959-972. |
| [3] | LIAN Kaiqi, WANG Yuhang, MENG Xiangfeng, ZHANG Mingliang, ZHOU Lingling. Isolation, Identification and Drug Resistance Analysis of Pathogenic Escherichia coli from Pavo cristatus [J]. China Animal Husbandry & Veterinary Medicine, 2026, 53(1): 448-458. |
| [4] | WANG Ya, LI Zhiguo, LUO Rongyan, LIU Ruiguo, ZUO Zhicai, MA Xiaoping. Isolation, Identification, Phylogenetic Analysis and Drug Sensitivity Test of Trichophyton verrucosum from Beef Cattle in Sichuan [J]. China Animal Husbandry & Veterinary Medicine, 2026, 53(1): 459-468. |
| [5] | WANG Qilin, CAO Runlai, LIU Peiwen, LIU Ziyu, XUE Zhuqing, DU Haixia, ZHANG Yue, ZHANG Minjing, LI Yacong, WANG Weiyang, CONG Yanfang, WANG Xiaoxu, LIU Zhijie. Isolation, Identification and Biological Characteristics Analysis of Bordetella bronchiseptica from Raccoon dog(Nyctereutes procyonoides) [J]. China Animal Husbandry & Veterinary Medicine, 2026, 53(1): 489-498. |
| [6] | LI Fuxiang, SONG Jianling, LI Zhanhong. Isolation, Identification and Biological Characterization of Actinobacillus pleuropneumoniae Serotype 7 from Pigs in Yunnan [J]. China Animal Husbandry & Veterinary Medicine, 2026, 53(1): 499-508. |
| [7] | JI Conghao, LI Shuxuan, HUANG Yu, HU Cunhai, WANG Zilong, FENG Shuying. Research Progress on the Use of Traditional Chinese Medicine in the Prevention and Treatment of Porcine Epidemic Diarrhea and Its Synergistic Mechanisms [J]. China Animal Husbandry & Veterinary Medicine, 2026, 53(1): 94-106. |
| [8] | MAO Chiwen, HUANG Mingfeng, LI Miaomiao, CHEN Lan, LUO Yihong, LIAN Kaiqi, MA Shengming, ZHU Erpeng. Exploration of the Mechanism of Echinacea purpurea Against Porcine Epidemic Diarrhea Virus Based on LC-MS and Network Pharmacology [J]. China Animal Husbandry & Veterinary Medicine, 2025, 52(9): 4471-4483. |
| [9] | WANG Wei, BI Zhenbin, GU Shanshen, XIAO Yeyi, ZHOU Yajing, WU Shenglong, BAO Wenbin, WANG Haifei. Construction of Porcine TRIM8 Gene Knockout Cell Line Based on CRISPR/Cas9 Technology and Its Regulatory Effect on Porcine Epidemic Diarrhea Virus Replication [J]. China Animal Husbandry & Veterinary Medicine, 2025, 52(8): 3790-3799. |
| [10] | ZHAO Xuejian, CHEN Xiaoliang, FENG Xiaowei, ZHANG Kang, MA Xiaojun, LI Jianxi. Investigation of the Pathogen of Calf Diarrhea in Gansu Region and Isolation, Identification and Drug Resistance Analysis of Clostridium perfringens [J]. China Animal Husbandry & Veterinary Medicine, 2025, 52(8): 3927-3938. |
| [11] | DAI Lin, HUAI Zhifang, WANG Baowei, ZHANG Ming'ai, FAN Wenlei, ZHANG Jing, WANG Binghan, QI Guofeng. Isolation, Identification and Biological Properties and Safety of A Lactiplantibacillus plantarum Strain [J]. China Animal Husbandry & Veterinary Medicine, 2025, 52(7): 3070-3083. |
| [12] | LU Chong, WANG Yuyan, FU Han, LI Tongyang, MIAO Ronghao, LU Yabin, LI Jianlong, LIU Jianhua, GUO Qingyong, MAI Zhanhai, KUANG Ling. Isolation and Identification of the Main Pathogenic Bacteria of Aborted Yili Foals and Their Pathogenicity [J]. China Animal Husbandry & Veterinary Medicine, 2025, 52(7): 3344-3358. |
| [13] | ZHAO Yilong, TANG Na, JING Changhua, XU Qingqing, YIN Xiusheng, WANG Haiming, SUN Jing, LIN Panpan, DONG Lin, LIU Jishan, CAO Rongfeng. Isolation,Identification and Biological Characteristics of a Strain of Lumpy Skin Disease Virus [J]. China Animal Husbandry & Veterinary Medicine, 2025, 52(6): 2790-2799. |
| [14] | YANG Qinhong, YANG Jia, DUAN Wenjie, ZHANG Yongxian, ZHU Youshuai, YANG Shaohong, HE Cheng, YIN Hongbin, LI Suhua. Isolation and Identification of a High-temperature Tolerant Bacillus thermoamylovorans and Optimization of Its Enzyme Production Conditions [J]. China Animal Husbandry & Veterinary Medicine, 2025, 52(6): 2839-2850. |
| [15] | HUANG Xiaojiu, LEI Lei, PENG Xiaoye, WANG Kaixin, CHEN Yingyi, WANG Jixian, WANG Yuge, DUAN Deyong, YANG Yi, WANG Aibing. Construction of a IPEC-J2 Cell Line Stably Overexpressing NM-ⅡA Tail and Its Effect on Porcine Epidemic Diarrhea Virus Infection [J]. China Animal Husbandry & Veterinary Medicine, 2025, 52(5): 2243-2252. |
| Viewed | ||||||
|
Full text |
|
|||||
|
Abstract |
|
|||||