中国畜牧兽医 ›› 2026, Vol. 53 ›› Issue (1): 479-488.doi: 10.16431/j.cnki.1671-7236.2026.01.043
YU Zhiying(
), SU Chunyang, XU Enshuang, ZHENG Jiasan(
)
摘要:
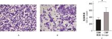
目的 筛选犬乳腺肿瘤细胞CHMM和CHMP的差异表达蛋白,为寻找犬乳腺肿瘤诊断治疗有效标志物提供科学依据。 方法 以犬乳腺肿瘤胸腔转移细胞CHMM和原发细胞CHMP为研究对象,通过显微观察、克隆试验和Transwell试验比较2种细胞形态、克隆能力和迁移能力。通过高效液相色谱-质谱分析技术筛选出2种细胞中差异表达蛋白,并对差异表达蛋白进行GO功能和KEGG通路富集分析。采用STRING数据库对差异表达蛋白进行蛋白互作分析。通过Western blotting试验验证蛋白质组学结果。 结果 CHMP细胞呈现长梭形,单细胞生长,CHMM细胞成簇生长,细胞相对较小。CHMP细胞有更强的迁移能力,CHMM细胞有更强的的克隆能力。测序共筛选出2 049种差异表达蛋白(差异倍数>1.2且P<0.05),其中1 161种下调蛋白,888种上调蛋白。GO功能富集分析结果显示,2种细胞差异表达蛋白参与的生物过程主要包括细胞过程、单向组织过程、代谢过程、生物调节、刺激应答等;细胞组分包括细胞、细胞部分、细胞器,细胞器部分等;分子功能主要有催化活性、结合、转运活性等。KEGG通路富集分析显示,2种细胞差异表达蛋白主要参与代谢途径信号通路等。差异表达蛋白互作分析显示,CD44、MMP14、DPYSL3蛋白有相互作用关系。Western blotting显示,与CHMM细胞相比,CHMP细胞中GSDMD表达量显著上升(P<0.05),CD44表达量显著下降(P<0.05),与蛋白质组学结果一致。 结论 经蛋白质组学筛选出犬乳腺肿瘤细胞CHMM和CHMP中的GSDMD等1 161种下调蛋白和CD44等888种上调蛋白,涉及代谢途径等多个生物过程,本研究结果可为犬乳腺肿瘤的诊断和治疗提供科学依据。
中图分类号: