China Animal Husbandry & Veterinary Medicine ›› 2026, Vol. 53 ›› Issue (2): 776-786.doi: 10.16431/j.cnki.1671-7236.2026.02.024

• Nutrition and Feed • Previous Articles     Next Articles

Effects of Different Plant Extracts on Immune Function in Immunosuppressed Mice

ZHANG Fei(), PANG Xiaotong, GAO Zhentiao, NIE Cunxi()   

  1. College of Animal Science and Technology,Shihezi University,Shihezi 832003,China
  • Received:2025-08-06 Online:2026-02-20 Published:2026-01-27
  • Contact: NIE Cunxi E-mail:zhangfei_2023@163.com;niecunxi@sina.com

Abstract:

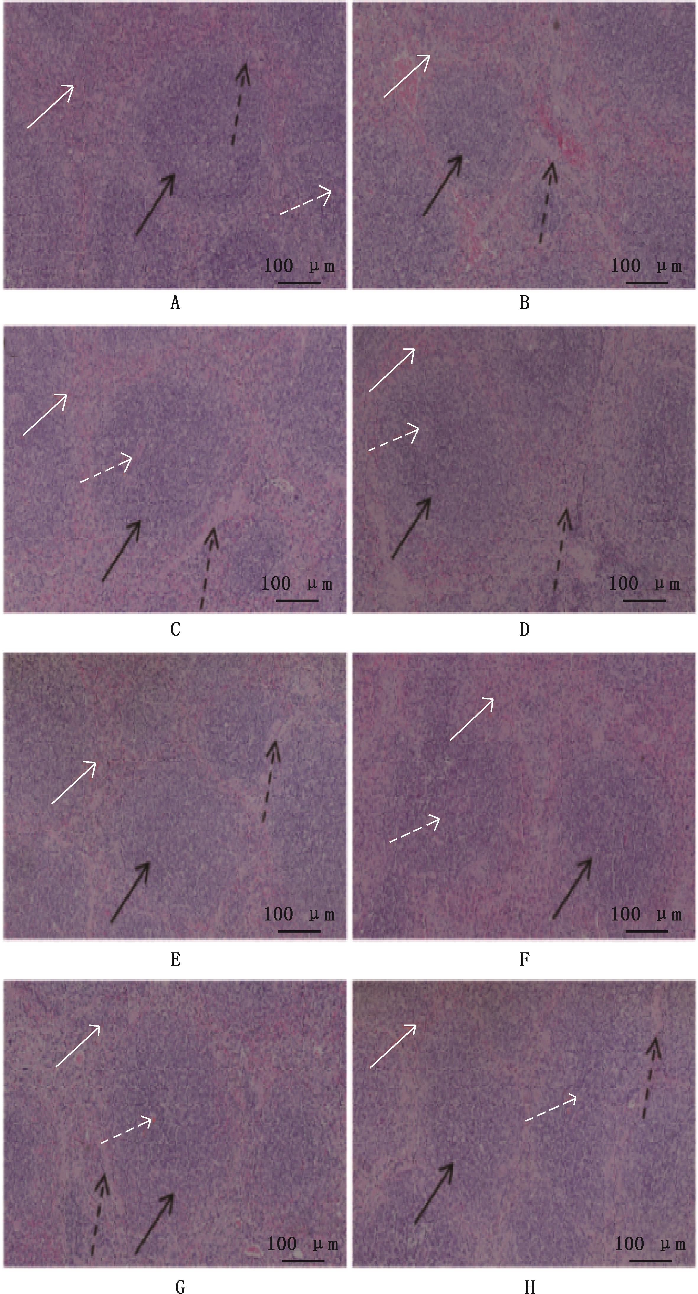
Objective This study aimed to investigate the effects of stevia extract, honeysuckle (Lonicera japonica) extract, AstragalusAstragalus membranaceus) extract, grape seed proanthocyanidin extract, licorice (Glycyrrhiza uralensis) extract, and capsaicin extract on immune function in cyclophosphamide-induced immunosuppressed mice, so as to provide a scientific basis for the application of plant extracts in the prevention of immunosuppressive diseases. Method A total of 64 male Kunming mice (6 weeks old, SPF grade, body weight 20 g±2 g) were randomly divided into eight groups (8 mice per group): Control, model (cyclophosphamide) and six plant extract-treated groups. The experiment lasted 31 days. From days 1 to 28, mice in control and model groups were given 0.2 mL of normal saline daily by gavage, while mice in treatment groups received the corresponding plant extracts at doses of 500, 180, 400, 200, 250 and 15 mg/(kg·d), respectively. On days 29 to 31, mice in control group was intraperitoneally injected with 0.2 mL/d of normal saline, while mice in cyclophosphamide and plant extract groups received cyclophosphamide at 80 mg/(kg·d). Body weights were recorded on days 0, 28 and 32. On day 32, liver and spleen samples were collected for organ index calculation and histopathological examination. Serum levels of immunoglobulins (IgA, IgG and IgM) and cytokines (TNF-α, IL-6 and IL-10) were measured. Result ①On days 32, the final body weight of mice in cyclophosphamide group was significantly lower than that of control group (P<0.05), while mice in honeysuckle extract group showed a significant increase compared with cyclophosphamide group (P<0.05). ②The liver index did not differ significantly between cyclophosphamide and control groups (P>0.05), but hepatocellular vacuolation was observed in cyclophosphamide group. All plant extracts alleviated the vacuolation, indicating a protective effect. ③The spleen index in cyclophosphamide group was 38.71% lower than that in control group, with structural damage such as blurred red-white pulp boundaries and loss of central arteries. Most plant extracts ameliorated splenic injury, with honeysuckle extract showing the strongest protective effect. ④Serum immunoglobulin and cytokine contents were generally decreased in cyclophosphamide group (P>0.05). Honeysuckle, Astragalus, and grape seed proanthocyanidin extracts significantly increased IgA contents (P<0.05), while capsaicin extract significantly elevated IgG (P<0.05). All extracts except stevia significantly increased TNF-α contents, and honeysuckle extract also significantly enhanced IL-6 and IL-10 contents (P<0.05). Conclusion Under the experimental conditions, all plant extracts provided varying degrees of protection against cyclophosphamide-induced immunosuppression. Honeysuckle extract exhibited the strongest effect, followed by Astragalus, grape seed proanthocyanidins, capsaicin, licorice, and stevia extracts, indicating their potential application in preventing immunosuppressive diseases.

Key words: plant extracts; cyclophosphamide; immunosuppression; immune function

CLC Number: